
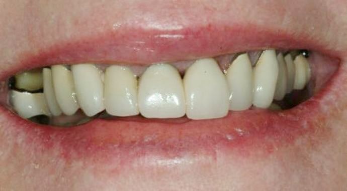
Full Mouth Reconstruction
Dr. Slaman Brings Smiles Back to Life Schedule Your Appointment Today
Are you dealing with multiple oral health issues and not sure where to start? We encourage you to visit our dental office so Dr. Slaman can conduct a thorough evaluation of your mouth and determine the best combination of procedures for you. This may include crowns, dentures, or coordinating the placement of dental implants to help restore your smile.
Dr. Slaman is a perfectionist when it comes to his work, ensuring the highest standards of care at all times. To get started, simply fill out our online form or call our Albuquerque, NM, office at:
(505) 881-7586

"So Blessed to Have Found Them"
Oh My Goodness ! You need to know that Dr. Slaman and his dental team are the best in the city . They are compassionate, and sincerely caring. My husband and I are so blessed to have found them. I do not know how they are so perfect in their craft but they truly are. I Love the entire team, especially my hygienist, Lori. Thank you everyone.
View on GoogleThis is a very fine practice. They utilize state-of-the-art equipment and are taking all precautions to provide a sanitary environment. Dr. Slaman and his entire staff are most professional, gentle and accommodating. My oral health has greatly improved for having become a patient of theirs.
View on Google
Procedure Candidacy
Experiencing more than a few of the following dental health issues? You could be an excellent candidate for full mouth reconstruction:
- Tooth or Jaw Pain
- Missing Teeth
- Tooth Decay
- Broken or Worn Teeth
- Misshapen or Stained Teeth
- Misaligned Bite
- Gum Disease
- Biting, Chewing, or Speaking Issues
The Full Mouth Reconstruction Process
Planning
"Dr. Slaman will listen to your dental health concerns with compassion."
Common Procedures in a Full Mouth Reconstruction
Crowns
Crowns are natural-looking, tooth-shaped restorations custom-designed to fit over damaged or decayed teeth. They can be created and placed during one appointment with CEREC® technology. We can also attach crowns to implants for unbeatable stability.
Dental Bridges
Missing one or two teeth in a row? A bridge fills the empty gap with a full-size restoration surrounded by two lifelike crowns.
Implant-Supported Dentures
When most or all of a patient's teeth are missing, lifelike dentures supported by implants can restore oral function and improve your appearance. By using implants, we ensure the dentures won't shift or fall out of place.
Periodontal Therapy
Periodontal therapy like below-the-gums deep cleaning can treat gum disease by removing bacteria, plaque, and tartar. Infected tissue can be gently removed using our WaterLase™ laser.
Dental Implants
The implant procedure involves the surgical placement of replacement tooth roots into your jawbone. The titanium devices fuse permanently to the surrounding bone tissue. After a healing period, tooth restorations will be attached to your implants to completely replace damaged or missing teeth.
Nervous about Treatment? We Make Treatment Comfortable
The Wand
Dental shots can be painful and intimidating for many patients. Our Albuquerque office uses The Wand® anesthetic system, which is virtually pain-free and looks like a small pen, as opposed to a frightening syringe. This revolutionary system allows Dr. Slaman to only numb the treatment area as opposed to your entire mouth.
Oral Conscious
For patients who are very anxious about their treatment, we offer oral conscious sedation. This method involves taking a pill before your procedure to ensure you are as relaxed as possible once you arrive for your appointment. Patients achieve a comfortable state of near-sleep and have little to no recollection of their procedure.
"Absolutely Top Notch!"
Team Slaman is absolutely top notch! The staff is friendly, professional and thorough! I have spent an inordinate amount of time in the dentists’s chair having had to have several complex procedures. All of the work has been done to perfection with virtually no discomfort!!! Dr. Slaman and his team should be your first choice for complete dental care!!!!!
View on GoogleAfter doing much research looking for a dentist, I luckily found Dr. Slaman. Numerous positive reviews about him was the reason I decided to see him. He has a modern office with the most up to date advanced dental technology. Dr. Slaman and his staff are warm, friendly and professional. I only wish I had known about Dr. James Slaman DDS, PC a long time ago. I highly recommend Dr. Slaman.
View on GoogleCosmetic Procedures
Teeth Whitening
We offer in-office whitening treatments like ZOOM!® and take-home whitening trays to dramatically lighten tooth stains.
Porcelain Veneers
Veneers are thin but strong customized shells that fit over the front of visible teeth, covering dental flaws and stains.
Dental Bonding
This tooth-colored resin is applied to your teeth in order to hide cosmetic flaws. Dental bonding can quickly restore the look of your tooth without costly procedures.
Gum Contouring
If your gums cover up some of your tooth surfaces, it can make your smile look uneven. This procedure uses a laser to gently reshape your gum line.
















